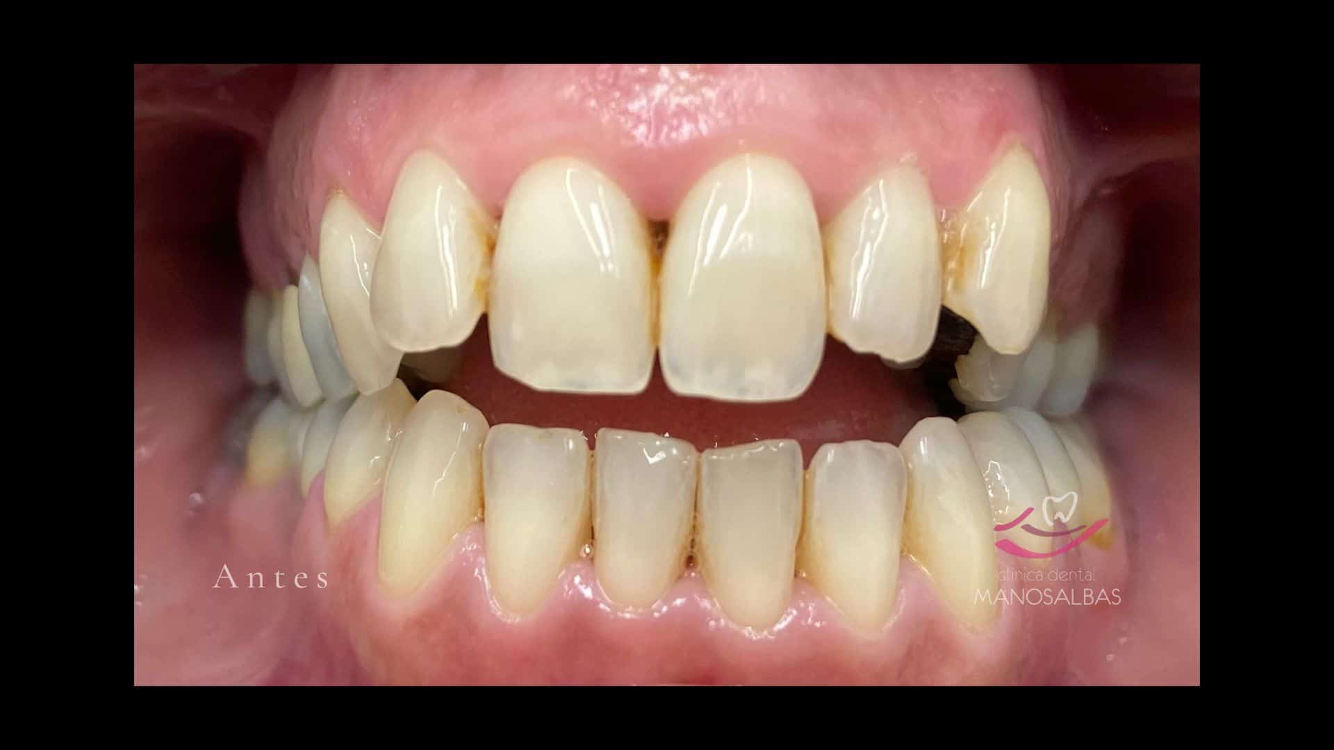
- Paciente acomplejada porque su mordida se abre progresivamente, no puede masticar bien y le cuesta pronunciar.
- Se realiza un tratamiento con Invisalign de 15 meses, acompañado de un blanqueamiento.
- La paciente está feliz porque, entre otras cosas, ya puede darle un bocado a un bocadillo.
